Dolor lumbar
Inicio » Traumatología » Dolor lumbar
¿QUE ES EL DOLOR LUMBAR?
Son muchas las personas que padecen dolor lumbar, conocido como lumbalgia o lumbociatalgia, refiriéndose al dolor que ocurre en la parte baja de la espalda.

¿CUALES SON SUS CAUSAS?
Entre las causas más frecuentes tenemos:
- Degenerativas del disco – Hernias discales, protrusiones, desgarro del anillo, la artrosis, los síndromes facetarios, la artritis anquilopollética, estenosis del canal.
- Tumorales, como son los tumores benignos y malignos.
- Infecciosas, osteomielitis, tuberculosis, abscesos.
- Traumáticas, como fracturas vertebrales, fracturas por osteoporosis, esguinces lumbares.
- Inflamatorias, como la sacroileitis, síndrome piramidal.
- Congénitas, espondilólisis, vértebras supernumerarias.
Como vemos, son muchas las causas, lo que hace difícil, muchas veces, llegar a un diagnóstico rápido y certero.
¿CUALES SON SUS SINTOMAS?
Este dolor, puede acompañarse de una serie de sintomatologías como dolor en la pierna con hormigueo, parestesias o adormecimiento de la misma.
Otras veces el dolor sale de la punta de la nalga recorriendo la cara posterior de la pierna o lateral del muslo y gemelos, hasta los dedos de los pies, con sensación de fallo y perdida del control de la misma.
También se puede presentar desviación de la espalda o el tronco hacia un lado, conocido como escoliosis antálgica o bandeo, donde el paciente por si solo no puede ponerse recto.

¿QUIEN PUEDE PADECERLO?
Se dice que más del 80 % de la población, sufrirá en algún momento dolor lumbar, la edad más frecuente de ésta afección, es entre los 30 y 60 años.
Esta patología es considera una causa mas absentismo laboral después de los estados gripales. La lumbalgia es uno de los motivos mas frecuente de las consultas en los servicios de Traumatología y Cirugía Ortopédica, puesto que puede aparecer tanto en trabajadores como en amas de casa, estudiantes.
¿CÓMO SE DIAGNOSTICA?
Lo más importante es poder diagnosticar la causa del dolor y aliviar sus síntomas, ésta patología es tratada por diferentes especialidades como médicos de familia, traumatólogos, reumatólogos, neurólogos.
Se realizara un cuestionario para conocer las causas posibles del dolor, como sobre esfuerzos al cargar un objeto pesado, un mal gesto, rigidez o dolor al levantarse de la cama o al estar largas horas de pie o sentado, si a tenido fiebre, mal estar general o pérdida de peso.
Tendremos en cuenta el tiempo transcurrido de la lesión, en días semanas y meses, así como la intensidad del mismo, localización e irradiación, si solamente está en la región lumbar o se irradia hacia la pierna, si hay o no pérdida de sensibilidad o fuerza del miembro
Evaluaremos en el examen físico la marcha del paciente, si existe actitud escoliótica o torsión del tronco, se palparán los puntos dolorosos y realizaremos maniobras de columna para confirmar la sintomatología descrita anteriormente por el paciente.
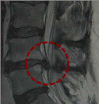
Se realizaran analíticas generales y específicas para descartar procesos artríticos o reumáticos, complementándolas con Radiografías Simples aunque en la actualidad resonancia magnética (RM) nos aporta una gran información, que nos permite hacer un diagnóstico certero sobre la patología, por ejemplo: hernias discales, protrusiones, estenosis del canal, discopatía, síndrome facetario y otras anomalías. Aunque este examen esta contraindicado para pacientes que tengan implantado marcapasos, implantes coclear, estimulador nervioso, clic de aneurisma cerebral, fragmentos metálicos intraoculares, cuerpos extraños ferromagnéticos, presencia de algún material desconocido, claustrofobia.
En estos casos podremos hacer uso de la Tomografía Computarizada (TC) que nos permite valorar fracturas, tumoraciones, metástasis, entre otros. La gammagrafía ósea, es otra de las pruebas que nos permite saber si hay actividad ósea ya sea, tumoraciones, metástasis y procesos inflamatorios. La Electromiografía, es un estudio de la velocidad de conducción del nervio, nos indica si la raíz que se encuentra afectada y si existe compresión de la misma.

¿CUAL ES EL TRATAMIENTO?
En primer lugar, debemos saber si estamos ante un dolor lumbar en fase aguda o de larga duración. En los casos más agudos, dónde solo hay lumbalgia de escasos días de evolución, el tratamiento ideal será reposo, antinflamatorios, analgésicos y relajantes musculares, si el paciente mejora, continuaremos con rehabilitación, educación postural y ejercicios fortalecedores de la musculatura de la espalda hasta que remita el dolor.
Si por el contrario el dolor no mejora deberemos realizar pruebas diagnósticas con el fin de determinar las causas del dolor, entre las más comunes tenemos la hernia discal, protrusiones, síndrome facetario, estenosis o estrechamiento del canal, las cuales serán explicadas con más detalle a continuación
Artículos relacionados
- El Cirujano - Levántate y anda
- Tratamientos de rodilla, hombro y columna lumbar