Dirección Médica Dr. Antoni Fraguas | Traumatología y Cirugía Ortopédica | Medicina del deporte

Cadera

Notícias

Conclusiones del estudio HEALTH

Recientemente participamos en el estudio HEALTH, cuyo objetivo principal era evaluar el impacto de una artroplastia total de cadera comparada con una hermiartroplastia, en relación a sus procedimientos quirúrgicos para

Leer Más >>

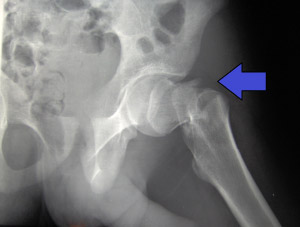
Las fracturas de cadera

Actualmente, a nivel mundial, las fracturas de cadera se encuentran entre las 10 principales causas de discapacidad en adultos. Más concretamente, para las fracturas desplazadas del cuello femoral, sigue habiendo

Leer Más >>
Dra. Claribel Dubois

OZONOTERAPIA

Cuando un paciente no mejora con un tratamiento conservador, reposo, analgésicos o rehabilitación, existen otras alternativas que ayudan a mejorar el dolor. La ozonoterapia es una terapia que puede tratar

Leer Más >>
Dr. Antoni Fraguas Castany

Osteopetrosis

Hemos operado por segunda vez una paciente con OSTEOPETROSIS enfermedad rara que se presenta desde el nacimiento y afecta a 1 persona entre 20.000 nacimientos y 1 entre 200.000 adultos.

Leer Más >>
Dr. Antoni Fraguas Castany

El Cirujano – Levántate y anda

Cuando nuestros pacientes no consultan por dolor en las caderas, si después de realizar los estudios pertinentes, determinamos que la articulación (la cadera) sufre una artrosis irreparable, les proponemos una

Leer Más >>
Dr. Antoni Fraguas Castany

Prótesis ASR

Información para los pacientes portadores de la prótesis ASR de la casa De Puy (Johnson & Johnson). En agosto de 2010 se retiraron del mercado mundial las prótesis de superficie ASR

Leer Más >>

Pedir cita