
El Dr. Felipe Moreira participa en el Congreso SECOT 2025
Del 1 al 3 de octubre de 2025 se celebra en Madrid el Congreso Nacional de la Sociedad Española de Cirugía Ortopédica y Traumatología (SECOT), uno de los encuentros más
Dirección Médica Dr. Antoni Fraguas | Traumatología y Cirugía Ortopédica | Medicina del deporte
Inicio » Artículos » Especialidad » Traumatologia
Del 1 al 3 de octubre de 2025 se celebra en Madrid el Congreso Nacional de la Sociedad Española de Cirugía Ortopédica y Traumatología (SECOT), uno de los encuentros más
Dolor de rodilla en deportistas: Causas y soluciones comunes Como especialistas en cirugía ortopédica y traumatología, a menudo vemos a pacientes deportistas, que experimentan dolor de rodilla. El dolor en
El equipo de Artroesport con la colaboración del equipo de Reumatología del dr. Castro publican un artículo sobre el procedimiento OSSURE LOEB para fortalecer el fémur de personas con osteoporosis
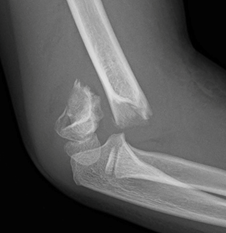
Una fractura supracondílea es una lesión común en el mundo de la traumatología pediátrica. Se trata de una ruptura que ocurre en el hueso del húmero, justo por encima de
Te presentamos en el Plasma Rico en Plaquetas, para qué patologías ortopédicas sirve, en qué consiste y cómo se aplica. Te dejamos en imagenes del tríptico informativo y la versión
Quizá el nombre te suene. Quizá no tanto. Pero hoy debes conocer qué son las fracturas patológicas. Son ese tipo de fracturas que ocurren sobre un hueso que no está
El tiro con arco es un deporte muy antiguo, con una tradición muy extendida y que exige mucha práctica y concentración a aquellos que se animan a practicarlo. Contrariamente a
Recientemente participamos en el estudio HEALTH, cuyo objetivo principal era evaluar el impacto de una artroplastia total de cadera comparada con una hermiartroplastia, en relación a sus procedimientos quirúrgicos para
Esta semana la prestigiosa revista The Lancet publicó un artículo acerca de un estudio llamado HIP ATTACK, El Dr. Antoni Fraguas fue uno de los investigadores secundarios. La publicación explora
Los Hallux Valgus o juanetes son un tipo de deformaciones en el pie muy molestas para el paciente que las sufre. Evidentemente, el grado de dolor aumentará o disminuirá en