
Metástasis óseas: Guía para pacientes
Las metástasis óseas ocurren cuando las células cancerosas se diseminan desde su lugar de origen a los huesos. Este fenómeno no es un cáncer de hueso primario, sino una extensión de un cáncer que comenzó en otra parte del cuerpo, como la mama, próstata, pulmón o riñón.
¿Qué son las metástasis óseas?
Las metástasis óseas son una de las complicaciones más comunes y severas del cáncer avanzado. Se producen cuando las células cancerosas viajan a través del torrente sanguíneo o el sistema linfático y se instalan en los huesos. Estas células comienzan a crecer y formar nuevos tumores, debilitando la estructura ósea y causando dolor y fracturas.

Síntomas comunes
Los síntomas más frecuentes de las metástasis óseas incluyen:
- Dolor óseo: A menudo es el primer síntoma y el más notable. El dolor puede ser constante o intermitente, y suele empeorar por la noche.
- Fracturas patológicas: Los huesos debilitados por las metástasis pueden fracturarse con facilidad, incluso con una mínima presión o caída.
- Hipercalcemia: Una condición en la que se libera calcio en exceso en la sangre, causando síntomas como náuseas, vómitos, sed extrema, y confusión.
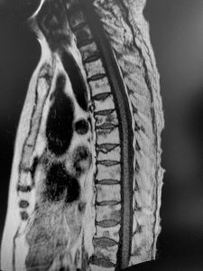
- Compresión de la médula espinal: Si el tumor afecta a la columna vertebral, puede comprimir la médula espinal, llevando a debilidad, entumecimiento o parálisis.
Diagnóstico
El diagnóstico de metástasis óseas generalmente incluye:
- Diagnóstico por imagen: Radiografías, resonancias magnéticas (RM), tomografías computarizadas (TC) y gammagrafías óseas ayudan a localizar y evaluar la extensión de las metástasis.
- Biopsia: La extracción de una muestra de tejido óseo para su análisis puede confirmar la presencia de células cancerosas.

Tratamiento
El tratamiento de las metástasis óseas se enfoca en controlar el dolor, fortalecer los huesos y manejar el cáncer subyacente. Las opciones de tratamiento incluyen:
- Radioterapia: Utilizada para reducir el dolor y controlar el crecimiento del tumor.
- Quimioterapia y terapia hormonal: Pueden ser efectivas dependiendo del tipo de cáncer original.
- Medicamentos para fortalecer los huesos: Bisfosfonatos y denosumab ayudan a fortalecer los huesos y reducir el riesgo de fracturas.
- Cirugía: En algunos casos, se realiza cirugía para estabilizar huesos fracturados o debilitados y aliviar la compresión de la médula espinal.
Prevención y manejo
La prevención de las metástasis óseas se centra en el tratamiento efectivo y temprano del cáncer primario. Para aquellos ya diagnosticados, el manejo integral incluye atención médica constante, medicación para el dolor y terapias para fortalecer los huesos.
En Artro Esport, liderados por el Dr. Antoni Fraguas, estamos dedicados a ofrecer un tratamiento especializado y de vanguardia para pacientes con metástasis óseas, asegurando una mejor calidad de vida y optimizando los resultados de salud.
Para más información, puede visitar nuestra página sobre metástasis y tumores óseos y conocer más sobre nuestros servicios y tratamientos disponibles.


