
La metástasis ósea
En el último episodio de Artro Esport Podcast, explicamos qué es la metástasis ósea: cuál es su origen, cómo se trata y cuál suele ser el perfil del paciente. Descubre
Dirección Médica Dr. Antoni Fraguas | Traumatología y Cirugía Ortopédica | Medicina del deporte

En el último episodio de Artro Esport Podcast, explicamos qué es la metástasis ósea: cuál es su origen, cómo se trata y cuál suele ser el perfil del paciente. Descubre

A inicios de este mes, Artro Esport estuvo presente en una nueva edición de la WCO IOF-ESCEO, celebrada en Barcelona. Se trata de una convención anual de prestigio mundial, que

Os compartimos un artículo publicado en la Revista Española de Artroscopia y Cirugía Articular. Se titula: Resultados clínicos de la técnica anteromedial versus la técnica transtibial en la reconstrucción del

En el último episodio de Artro Esport Podcast, explicamos qué es la ozonoterapia y cómo se utiliza médicamente el ozono. El dolor consecuencia de distintos diagnósticos puede reduicirse considerablemente gracias

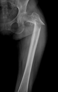
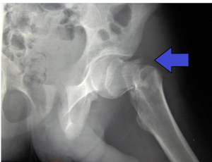
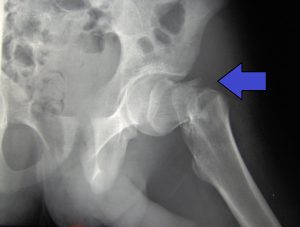
En el último vídeo del canal de ArtroEsport en YouTube, el Doctor Antoni Fraguas te explica una nueva técnica de femoroplastia para reforzar la osteoporosis femoral y evitar su fractura.

En el último episodio de Artro Esport Podcast, el Dr. Fraguas explica las innovaciones que previenen la fractura de fémur. Lo hace en este capítulo en formato entrevista. Asimismo, el

Te presentamos en el Plasma Rico en Plaquetas, para qué patologías ortopédicas sirve, en qué consiste y cómo se aplica. Te dejamos en imagenes del tríptico informativo y la versión

Existe una revolucionaria innovación que previene las fracturas de fémur en ancianos. Los que ya somos mayores hemos escuchado de nuestros abuelos que romperse el fémur a principios del siglo

En el último episodio de Artro Esport Podcast te contamos algunas de las claves de las especialidades que tratamos en el centro en el ámbito de la cirugía ortopédica y

Los que ya somos mayores hemos escuchado de nuestros abuelos que romperse el fémur a principios del siglo pasado era casi la condena de una muerte escalofriante. Imaginaos: en la